Physios

Praktijkgerichte nascholing voor de fysiotherapeuten

Wil je toegang tot alle artikelen, video's en nascholing van Physios?

Abonneer nu!

Alle collecties van Physios

Gesorteerd op nieuw - oud
Gedragsverandering voor de fysiotherapeut deel 2: therapietrouw Lees meer over Gedragsverandering voor de fysiotherapeut deel 2: therapietrouw Gedragsverandering voor de fysiotherapeut deel 2: therapietrouw
Therapietrouw is een belangrijke factor voor behandelsucces Een model dat therapietrouw voorspelt is de Prótection Motivation Theory (PMT). Hierbij worden twee reacties onderscheiden: de adapatieve en de maladaptieve, waarvan de patiënt er een kiest door alle voors en tegens af te wegen. Om de therapietrouw te vergroten wordt een stappenplan gegeven, dat bestaat uit vijf vragen: drie basisvragen over de kans op therapietrouw en twee verdiepingsvragen over barrières en ontbrekende vaardigheden.
Functionele anatomie van de hand en pols Lees meer over Functionele anatomie van de hand en pols Functionele anatomie van de hand en pols
De hand- en polsregio is een uniek gebied binnen het menselijk bewegingsapparaat. Deze uniciteit geldt voor zowel de artrogene als de tendomusculaire anatomie. Dit artikel geeft een overzicht van de functionele anatomie van de hand- en polsregio, waarin de relatie tussen de vorm en functie centraal staat. Meer specifiek wordt het ‘microvacuolaire systeem’ beschreven, dat een belangrijke bijdrage levert aan de stabiliteit en de verglijding van structuren in de hand. Het disfunctioneren van dit systeem zal bij handproblematiek een grote impact hebben op het uiteindelijke functioneren, meer dan andere regio’s in het menselijk lichaam. Kennis van de functionele anatomie en (patho)fysiologie van de hand- en polsregio is essentieel voor een (hand)fysiotherapeut om een gedegen behandeling in te kunnen stellen.
Stabiliteit in menselijk bewegen deel 4: een klinisch perspectief Lees meer over Stabiliteit in menselijk bewegen deel 4: een klinisch perspectief Stabiliteit in menselijk bewegen deel 4: een klinisch perspectief
Instabiliteit van de wervelkolom wordt klinisch gedefinieerd als het onvermogen bewegingen van de wervelkolom zodanig te controleren dat neurologische stoornissen, deformatie en pijn worden voorkomen. Dit artikel vat het onderzoek naar instabiliteit als oorzaak van rugpijn samen. Patiënten met rugpijn vertonen vaak stoornissen die de stabiliteit bedreigen en hebben minder controle over rompbewegingen. Veel patiënten lijken hiervoor te compenseren door de lumbale stijfheid te vergroten door middel van rompspieractiviteit. Een dergelijke adaptatie is functioneel, maar kan negatieve neveneffecten hebben door de hogere mechanische belasting van de wervelkolom en door vermoeidheid van rompmusculatuur.
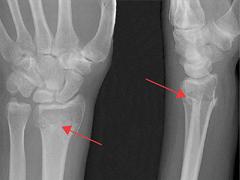
De distale radiusfractuur Lees meer over De distale radiusfractuur De distale radiusfractuur
De distale radiusfractuur is een veelvoorkomende fractuur die meestal ontstaat door een val op de uitgestrekte hand. Voor dit type fractuur worden verschillende classificatiesystemen gebruikt, maar in de literatuur is geen consensus over welk systeem gebruikt dient te worden. Op basis van de ernst van de fractuur en patiëntkarakteristieken zal de behandelend arts kiezen voor een conservatieve dan wel operatieve behandeling. Het is van groot belang dat de patiënt al vroeg in het revalidatietraject goed wordt begeleid door een fysiotherapeut. De revalidatie is in te delen in verschillende fasen: in eerste instantie ligt het accent op het verbeteren van de mobiliteit, in een latere fase steeds meer op het opbouwen van de belastbaarheid. Tijdens de nabehandeling is het belangrijk om eventuele complicaties te herkennen, zodat hiervoor een gerichte interventie kan worden toegepast.
Overleven met eHealth Lees meer over Overleven met eHealth Overleven met eHealth
Alle huidige ontwikkelingen in de gezondheidszorg hebben ook de nodige consequenties voor de fysiotherapie. Hierop inspelen is voor elke fysiotherapeut een must. Een van de middelen om als fysiotherapeut te overleven en toekomstbestendig te zijn, is het inzetten en toepassen van eHealth. Op dit moment zijn er binnen de fysiotherapie diverse initiatieven op dit gebied. De inzet van eHealth vraagt wel om een andere organisatie van praktijkvoering, om vernieuwingsgericht denken en een ondernemende houding.
Diagnostiek en therapie bij pijn in de duimregio Lees meer over Diagnostiek en therapie bij pijn in de duimregio Diagnostiek en therapie bij pijn in de duimregio
De duim is onmisbaar bij dagelijkse activiteiten zoals schrijven, potten opendraaien, en aan- en uitkleden. Pijnklachten aan de duim kunnen hierbij een grote belemmering vormen. Wanneer een patiënt zich presenteert met pijnklachten in de duimregio, is het belangrijk om verschillende differentiaaldiagnoses te overwegen zoals de ziekte van De Quervain, artrose van het eerste carpometacarpale gewricht en tendovaginitis van de m. flexor pollicis longus. Deze aandoeningen kunnen los van elkaar bestaan, maar ook gecombineerd voorkomen. Dit artikel gaat in op het ontstaan van de meest voorkomende duimaandoeningen en beschrijft de relevante anatomie. Bij elke aandoening worden handvatten aangereikt voor anamnese, onderzoek en fysiotherapeutische interventie.