De distale radiusfractuur

01 maart 2013

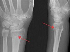
De distale radiusfractuur is een veelvoorkomende fractuur die meestal ontstaat door een val op de uitgestrekte hand. Voor dit type fractuur worden verschillende classificatiesystemen gebruikt, maar in de literatuur is geen consensus over welk systeem gebruikt dient te worden. Op basis van de ernst van de fractuur en patiëntkarakteristieken zal de behandelend arts kiezen voor een conservatieve dan wel operatieve behandeling. Het is van groot belang dat de patiënt al vroeg in het revalidatietraject goed wordt begeleid door een fysiotherapeut. De revalidatie is in te delen in verschillende fasen: in eerste instantie ligt het accent op het verbeteren van de mobiliteit, in een latere fase steeds meer op het opbouwen van de belastbaarheid. Tijdens de nabehandeling is het belangrijk om eventuele complicaties te herkennen, zodat hiervoor een gerichte interventie kan worden toegepast.

Leerdoelen

Na het bestuderen van deze collectie:

  • heeft u kennis van de etiologie van de distale radiusfractuur
  • heeft u kennis van de anatomie van de pols en het distale radio-ulnaire gewricht
  • heeft u praktische kennis van de conservatieve interventie en nabehandeling
  • heeft u kennis van verschillende chirurgische interventies en de nabehandeling
  • heeft u kennis van de veelvoorkomende complicaties na een distale radiusfractuur en de consequenties hiervan voor fysiotherapeutische nabehandelingen

Informatie over deze collectie

Publicatiedatum 01 maart 2013
Duur
1 uur

Accreditatie

Status
Niet gestart

Aan de slag

Abonneer op Physios

Neem nu een abonnement op Physios om toegang tot deze nascholing te krijgen.

In deze collectie

E-learning met toets

De distale radiusfractuur

Auteurs
K. (Karin) Schoneveld
Y. (Yara) van Kooij, MSc
R. (Reinier) Feitz
Niet gestart
1 uur
Artikel

De distale radiusfractuur

Auteurs
K. (Karin) Schoneveld
Y. (Yara) van Kooij, MSc
R. (Reinier) Feitz
Niet gestart
Bijlage

Literatuurlijst

Niet gestart
Bijlage

Bijlage 1

Niet gestart