Physios

Praktijkgerichte nascholing voor de fysiotherapeuten

Wil je toegang tot alle artikelen, video's en nascholing van Physios?

Abonneer nu!

Alle collecties van Physios

Gesorteerd op nieuw - oud
Functionele neurologische stoornissen Lees meer over Functionele neurologische stoornissen Functionele neurologische stoornissen
Functionele neurologische stoornissen (FNS) worden niet veroorzaakt door een structurele afwijking in het zenuwstelsel, maar door een functiestoornis daarvan. FNS wordt ook wel conversiestoornis genoemd. De diagnose FNS kan niet meer op grond van psychosociale factoren worden gesteld, evenmin door alleen andere verklaringen voor de symptomen uit te sluiten. De diagnose FNS kan op grond van neurologisch onderzoek worden gesteld, waarbij klinische tests de diagnose steunen. Na een indrukwekkende gebeurtenis kan een biologische respons worden geactiveerd: de zogeheten ‘fight or flight’-reactie. FNS kan zich ontwikkelen doordat deze reactie de verwerking van de sensorische en motorische informatie in de hersenen verandert. De nieuwe symptomen worden als gevaar gezien, waardoor de aandacht op die symptomen wordt gericht. Deze aandacht doet de symptomen voortduren. Als de aandacht kan worden afgeleid, blijken de symptomen inderdaad te verbeteren, wat een belangrijk principe van de behandeling is. Een voorwaarde is wel dat de aan de patiënt uitgelegde diagnose moet zijn begrepen voor de behandeling begint. Twee randomised controlled trials toonden een gunstig effect van fysiotherapie bij FNS.
Een pijnlijke en gezwollen arm na krachttraining; verzuren tot aan rhabdomyolyse Lees meer over Een pijnlijke en gezwollen arm na krachttraining; verzuren tot aan rhabdomyolyse Een pijnlijke en gezwollen arm na krachttraining; verzuren tot aan rhabdomyolyse
Rhabdomyolyse is een syndroom dat wordt veroorzaakt door een snelle afbraak van spieren waarbij de klassieke symptomen myalgie, spierzwakte en een donkere verkleuring van de urine zijn. Rhabdomyolyse na intensief trainen komt voornamelijk voor wanneer secundaire risicofactoren aanwezig zijn, zoals dehydratie, maligne hyperthermie, metabole afwijkingen in de spier of het gebruik van voedingssupplementen en doping. Er zijn echter casus beschreven van rhabdomyolyse bij gezonde, sportieve patiënten zonder secundaire risicofactoren. Voorzichtigheid is geboden, want indien rhabdomyolyse niet herkend en behandeld wordt, kan er ernstige nierschade optreden. Deze casus beschrijft het ontstaan van rhabdomyolyse na intensief sporten bij een gezonde patiënt, met als doel het herkennen van een rhabdomyolyse en weten hoe te handelen.
Ritmische auditieve stimulatie voor patiënten met de ziekte van Parkinson en loopproblemen Lees meer over Ritmische auditieve stimulatie voor patiënten met de ziekte van Parkinson en loopproblemen Ritmische auditieve stimulatie voor patiënten met de ziekte van Parkinson en loopproblemen
Neurologische muziektherapie (NMT) hanteert een aantal technieken waarbij de invloed van muziek wordt ingezet ter behandeling van belemmeringen op het gebied van taal en spraak, cognitie en motoriek. Ritmische auditieve stimulatie (RAS) is een motorisch gerichte techniek uit de NMT die een meerwaarde kan hebben naast de looptraining door een fysiotherapeut. Uit de onderzoeksliteratuur blijkt dat RAS een positieve werking heeft bij patiënten met de ziekte van Parkinson. Om die reden wordt deze benadering momenteel structureel toegepast in Zorgspectrum te Nieuwegein bij de dagbehandeling van patiënten met de ziekte van Parkinson. Voorafgaand aan de invoering heeft er een intern onderzoek plaatsgehad om de meerwaarde van RAS vast te stellen. De conclusie van dit kwalitatieve onderzoek is dat RAS bij patiënten met de ziekte van Parkinson bijdraagt aan een verbeterde stemming, motivatie en kwaliteit van het lopen.
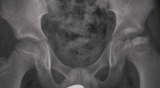
Pijn in de heup bij kinderen Lees meer over Pijn in de heup bij kinderen Pijn in de heup bij kinderen
Kinderen met afwijkingen van de heup presenteren zich met uiteenlopende klachten en klinische verschijnselen. De klachten kunnen bestaan uit pijn in heup, bovenbeen, knie of rug, mank lopen, waggelen en andere loopstoornissen en bewegingsbeperking. Mank lopen is meestal het eerste, subtiele teken van heupproblematiek, en gaat vrijwel altijd vooraf aan pijnklachten. Veel orthopedische afwijkingen in de heup worden gepresenteerd met karakteristieke verschijnselen en op een karakteristieke leeftijd. In dit artikel worden de verschillende oorzaken van pijn en klachten rond de heup bij kinderen beschreven. Deze oorzaken zijn in te delen in mechanisch en traumatisch, infectieus/inflammatoir, vasculair, tumoren en niet-orthopedische oorzaken. Hoewel heupklachten bij kinderen als gevolg van trauma’s en sportletsels voor de dagelijkse praktijk van de fysiotherapeut zeer relevant zijn, ligt de focus in dit artikel meer op de specifieke heuppathologie.
Zelfmanagement: een kans bij aspecifieke KANS? Lees meer over Zelfmanagement: een kans bij aspecifieke KANS? Zelfmanagement: een kans bij aspecifieke KANS?
Klachten aan de arm, nek en/of schouder (KANS) vormen een substantieel onderdeel van werkgerelateerde musculoskeletale aandoeningen. Aspecifieke KANS kent een multifactorieel ontstaan waarbij factoren in wisselende samenstelling een rol kunnen spelen. Zelfmanagement wordt meer en meer gebruikt om de eigen-effectiviteit en het gezondheidsgedrag bij mensen met chronische aandoeningen te verbeteren. Doelstelling van zelfmanagement is om patiënten te ondersteunen bij het maken van geïnformeerde keuzes en bij het uitvoeren van deze keuzes. Gezien de behoefte aan effectieve interventies voor mensen met aspecifieke KANS en de multifactoriële (biopsychosociale) oorsprong van aspecifieke KANS zou zelfmanagement een belangrijke rol kunnen spelen in de behandeling van patiënten met aspecifieke KANS. Dit artikel beschrijft de ontwikkeling van een zelfmanagementprogramma voor werknemers met aspecifieke KANS, zelfmanagementprincipes en methoden voor gedragsverandering. Met kennis hiervan kan de fysiotherapeut een start maken met het integreren van zelfmanagement(principes) binnen de fysiotherapeutische behandeling.
De angstgegner te lijf Lees meer over De angstgegner te lijf De angstgegner te lijf
Dit artikel is deel twee van een tweeluik over de rol van de context in revalidatie en sport. In het eerste deel is het belang van de context bij het aanleren van vaardigheden verduidelijkt. In dit tweede deel wordt besproken hoe het ontstaan van een specifiek geheugennetwerk binnen een bepaalde context een zogenoemde angstgegner kan opleveren. De ‘angstgegner’ is een term die ontleend is aan de sport en hiermee wordt een tegenstander of een situatie bedoeld die door eerdere ervaringen een zodanige angst oproept dat normaal functioneren niet mogelijk is. Ook in de revalidatie zijn er angstgegners, waardoor een patiënt stagneert in zijn revalidatieproces. Dit artikel gaat in op dit fenomeen en op exposuretherapie als behandelvorm.