Imago
Een onafhankelijke, ongesponsorde nascholingsformule over radiologie en nucleaire geneeskunde
Een multimediale combinatie van een vaktijdschrift, online kenniscentrum en geaccrediteerde e-learnings, geaccrediteerd door de NVvR en NVNG.

Alle collecties van Imago
Gesorteerd op nieuw - oud
Een 75-jarige vrouw presenteerde zich met dyspneu en hoesten. In de voorgeschiedenis had zij een melanoom en struma. Bij lichamelijk onderzoek werden geen cardiale afwijkingen geconstateerd. De vrouw had nooit gerookt. Zij was niet bekend met een maligniteit. Wat is uw diagnose?

Referentiewaarden vaatschade ontwikkeld | Zelfontwikkelde MRI-box bootst effect plotselinge bloeddrukverlaging na | Subsidie voor ontwikkelen terbium-isotopen | Borstkankerscreening starten bij 40 jaar kosteneffectiever | Sneller herstel en minder complicaties door thermische ablatie bij darmkanker

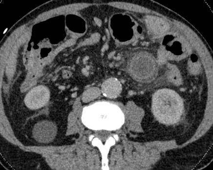
Een 60-jarige patiënte met pijn in de rug en bil onderging een CT-scan van de buik. De voorgeschiedenis vermeldde twee jaar

Een aneurysma van de arteria lienalis is een zeldzame diagnose, zeker bij een jonge, gezonde vrouw. Dit type aneurysma is geassocieerd met onder andere atherosclerose, andere vaatwandziekten zoals bindweefselziekten, (portale) hypertensie en verhoogde viscerale flow. Het exacte ontstaansmechanisme is nog niet bekend. Niet-geruptureerde aneurysmata zijn bijna altijd asymptomatisch. In minder dan 5% van de gevallen zijn er aspecifieke symptomen. Het is dus een diagnose die vaak bij toeval wordt gesteld. Uitstel van de diagnose kan leiden tot het ruptureren van het aneurysma en dit gaat samen met een hoge morbiditeit en mortaliteit. CT-angiografie is het diagnosticum van keuze voor het aantonen van dit aneurysma. Asymptomatische aneurysmata worden nagenoeg altijd behandeld, gezien het risico op ruptuur. Alleen bij ernstige comorbiditeiten van de patiënt is follow-up van het aneurysma te overwegen. Zowel een endovasculaire als een chirurgische behandeling is mogelijk.

Infectieuze aortitis is een onderbelichte en levensbedreigende aandoening die vooral op hogere leeftijd voorkomt. Risicofactoren zijn een immuungecompromitteerde status, diabetes en pre-existente vaatschade zoals atherosclerose of stentplaatsing. Pathofysiologisch zijn er vier verschillende routes van ontstaan: innesteling van bacteriën vanuit de bloedbaan, doorbraak van een nabijgelegen infectie, septische embolieën en accidentele enting van bacteriën in de vaatwand (directe inoculatie genoemd). Een CT-angiografie of PET/CT is de voornaamste techniek om een aortitis in beeld te brengen. Afname van bloed- en weefselkweken behoort tot de standaarddiagnostiek, waarbij ook serologie en PCR-diagnostiek ingezet kunnen worden. De behandeling is meestal tweeledig en bestaat uit antimicrobiële therapie in combinatie met chirurgische interventie. Empirische antibiotica worden gericht op de meest voorkomende verwekkers en kunnen bij specifieke risicofactoren uitgebreid worden. Chirurgisch interveniëren betreft van oudsher een open reconstructie en débridement, maar tegenwoordig wordt ook regelmatig gekozen voor endovasculaire interventies. Complicaties als aneurysmavorming, -ruptuur en sepsis zorgen voor een hoog mortaliteitsrisico.

Splanchnicustrombose is een complexe aandoening met een groot risico op morbiditeit en mortaliteit, zowel door de trombose zelf, het sterk verhoogde risico op bloedingscomplicaties onder antistollingsbehandeling, als de eventueel onderliggende aandoening. De behandeling van splanchnicustrombose vindt plaats door middel van antistolling, al dan niet in combinatie met een radiologische of chirurgische interventie. In dit nascholingsartikel worden de verschillende diagnostische methodes om splanchnicustrombose vast te stellen besproken, en wordt ingegaan op de behandeling met trombolytica als last resort. Het betreft een selecte groep met ernstige gevallen van acute splanchnicustrombose waarbij er levensbedreigende complicaties, zoals darmischemie en leverfalen, optreden en de conventionele therapie gefaald heeft of technisch onmogelijk is. We geven een overzicht van de relevante (inter)nationale richtlijnen en evalueren zowel de literatuur waarop deze richtlijnen (ten dele) gebaseerd zijn, als de literatuur die we vonden via een systematische search. In lijn met een deel van de richtlijnen concluderen we dat trombolyse kan worden overwogen bij een selecte groep patiënten. Hoewel er geen consensus is over het type trombolyse, de dosis en de toedieningsduur proberen we op basis van de beschikbare literatuur een relatie met de uitkomsten te beschrijven. Een multidisciplinaire benadering, met betrokkenheid van vasculaire, chirurgische, MDL-en interventieradiologische expertise, is essentieel voor een succesvolle behandeling.