Quiz: pijn in de buik links met koorts

01 november 2025

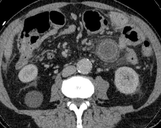
Een 74-jarige man heeft sinds twee dagen acute pijnklachten aan de linkerkant van zijn buik. Sinds een jaar heeft hij moeizame ontlasting en rectaal bloedverlies.

Informatie over deze collectie

Publicatiedatum 01 november 2025
Duur
20 min

Accreditatie

Status
Niet gestart

Aan de slag

Wil jij ook nascholen met Imago?

In deze collectie

Artikel

Vraag

Auteur
dr. A.M. (Anje) Spijkerboer
Niet gestart
10 min
Je hebt geen abonnement op Imago.
Artikel

Antwoord

Auteur
dr. A.M. (Anje) Spijkerboer
Niet gestart
10 min
Je hebt geen abonnement op Imago.