FocusVasculair
Praktijkgerichte nascholing over interdisciplinaire vasculaire geneeskunde
Een combinatie van vaktijdschrift, toegang tot online kenniscentrum en e-learning, geaccrediteerd door de NIV en VSR.
Wil je toegang tot alle artikelen, video's en nascholing van FocusVasculair?
Abonneer nu! Meer informatie
Alle collecties van FocusVasculair
Gesorteerd op nieuw - oud
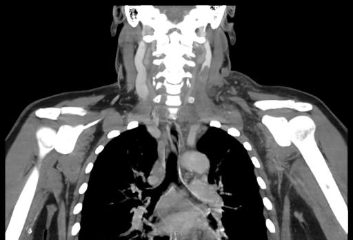
Het syndroom van Meigs is een zeldzame, goedaardige gynaecologische aandoening gekarakteriseerd door een trias van een ovariumfibroom, ascites en pleurale effusie, die verdwijnen na resectie van de adnexafwijking. Bij het pseudomeigssyndroom uiten de ovariumafwijkingen zich anders dan een fibroom. De casus die wij presenteren illustreert een bijzondere manifestatie van het pseudomeigssyndroom. Hoewel het syndroom bekendstaat om het benigne karakter, kan het zich presenteren met systemische manifestaties. Het gaat klassiek gepaard met respiratoire of abdominale klachten, een initiële uiting met een trombo-embolisch event is echter zeldzaam.

Dit artikel behandelt de complexe processen van hemostase en de diagnostiek van diverse stollingsstoornissen, met een focus op milde bloedingsproblemen. Het benadrukt het gebruik van de bleeding assessment tool (BAT) voor het systematisch beoordelen van bloedingssymptomen en de noodzaak van gerichte laboratoriumtesten om de juiste diagnose te stellen. Ook de variabiliteit en uitdagingen bij het identificeren van milde bloedingsstoornissen worden besproken, evenals de invloed daarvan op de levenskwaliteit van patiënten. Tot slot worden behandelingsopties, zoals DDAVP en tranexaminezuur, belicht en wordt de noodzaak onderstreept voor zorgvuldige monitoring, vooral bij vrouwelijke patiënten met bloedingsklachten.

Vasculaire anomalieën beslaan een heterogene groep afwijkingen, variërend van onschuldige cutane laesies tot levensbedreigende malformaties. Incorrect gebruik van terminologie heeft van oudsher tot veel verwarring in de klinische praktijk en onjuiste diagnoses geleid. Tegenwoordig wordt het ISSVA-classificatiesysteem gebruikt als gouden standaard voor vasculaire anomalieën. Hierin worden twee hoofdcategorieën onderscheiden: vasculaire tumoren (zoals hemangiomen) en vasculaire malformaties. In dit artikel wordt ingegaan op de ISSVA-classificatie en de belangrijkste verschillen tussen de categorieën. Ook wordt uitgebreid ingegaan op de radiologische beeldvorming, waarbij met name echografie en MRI een grote rol spelen. Tot slot wordt een overzicht gegeven van de belangrijkste therapieën van vasculaire malformaties, met de focus op interventieradiologische behandelingen.

Type 1-diabetes is een chronische ziekte waarvoor levenslang behandeling met insuline noodzakelijk is. Sinds de ontdekking van insuline in 1921 is de behandeling van type 1-diabetes aanzienlijk geëvolueerd. Moderne technologieën, zoals continue glucosemonitoring (CGM) en insulinepompen, hebben de glucoseregulatie en het gebruikersgemak verbeterd. Hybride ‘closed loop’-systemen, die (basis)insuline automatisch toedienen op basis van realtime glucosegegevens, hebben de glykemische controle verder verbeterd voor een brede groep patiënten. Deze systemen gelden momenteel als de standaard in de behandeling van type 1-diabetes. De recente technologische ontwikkelingen hebben geleid tot een verschuiving in behandeldoelen, waarbij nu meer wordt gestreefd naar Time In Range (TIR) in plaats van alleen HbA1c. Deze innovaties bieden nieuwe mogelijkheden, maar ook uitdagingen zoals toegang tot technologie en training. Dit artikel bespreekt daarnaast de verschillende soorten sensoren en insulinepompen en geeft handvatten om samen met patiënten de juiste keuze te maken. Tot slot wordt het belang van goede begeleiding, kennis van de verschillende systemen en educatie voor patiënten en zorgverleners benadrukt.

Hartfalen is een complex klinisch syndroom dat zich kenmerkt door een onvermogen van het hart om adequate circulatie te leveren voor de fysiologische behoeften van het lichaam. Dit kan leiden tot symptomen als kortademigheid, verminderde inspanningstolerantie, vermoeidheid en vochtretentie. Bij lichamelijk onderzoek kan er sprake zijn van verhoogde centraal veneuze druk, pulmonale crepitaties, perifeer ‘pitting’ oedeem of ascites.
Hartfalen wordt onderverdeeld in drie groepen op basis van ejectiefractie: hartfalen met een verminderde ejectiefractie (HFrEF), een licht verminderde ejectiefractie (HFmrEF) en een behouden ejectiefractie (HFpEF). Voor alle patiënten met HFrEF dient de behandeling zich primair op ziektemodificerende therapieën te richten die zowel morbiditeit als mortaliteit verlagen: ACE-i/ARNI, β-blokkers, MRA en SGLT2-remmer. Voor sommige patiënten kan een belangrijke daling van morbiditeit en mortaliteit worden bereikt door middel van cardiale resynchronisatie therapie (CRT) met een biventriculaire pacemaker en/of het implanteren van een inwendige cardioverter-defibrillator (ICD).

De incidentie en prevalentie van de ziekte van Alzheimer en andere soorten dementie nemen toe. De diagnose heeft een grote impact op het individu, de omgeving en de gezondheidszorg als geheel. Derhalve is preventie van dementie een van de belangrijkste pijlers. The Lancet heeft recent een rapport uitgebracht over de mogelijk beïnvloedbare risicofactoren voor het ontwikkelen van dementie. Hieruit blijkt dat 45% van de risicofactoren te beïnvloeden is. Bovenop de oorspronkelijke twaalf risicofactoren uit het vorige rapport zijn nu onbehandeld gezichtsveldverlies en een hoog LDL-cholesterol toegevoegd aan de beïnvloedbare risicofactoren. In dit nascholingsartikel komen de veertien risicofactoren aan bod, waarbij met name aandacht wordt besteed aan de risicofactoren die voor de vasculair georiënteerde arts relevant zijn, zoals de ‘klassieke’ cardiovasculaire risicofactoren en leefstijlfactoren.