AccreDidact Preventieassistent

Praktijkgerichte nascholing voor preventieassistenten

AccreDidact-nascholingen voor preventieassistenten zijn volledig online. Lees het programma en doorloop de e-learning online. Accredidact Preventieassistent staat voor 4 nascholingsuren per programma en na het behalen van de eindtoets ontvang je een certificaat.

Wil je toegang tot alle artikelen, video's en nascholing van AccreDidact Preventieassistent?

Abonneer nu! Meer informatie

Alle collecties van AccreDidact Preventieassistent

Gesorteerd op nieuw - oud
Gedragsverandering en de rol van de preventieassistent Lees meer over Gedragsverandering en de rol van de preventieassistent Gedragsverandering en de rol van de preventieassistent
De meeste mondziekten, zoals cariës, parodontitis en gebitsslijtage, zijn terug te voeren op onjuist gedrag. Onvoldoende gebitsreiniging, een suikerrijk voedingspatroon, tandenknarsen en verkeerde mondgewoonten spelen hierin een grote rol. Gelukkig zijn deze aandoeningen grotendeels te voorkomen door goede mondverzorging en gezond gedrag. Toch blijkt gedragsverandering in de praktijk vaak lastig. Patiënten hebben professionele begeleiding nodig om hun gewoonten aan te passen én vol te houden. Voorlichting moet aansluiten bij wat de patiënt al weet, doet of bereid is te veranderen. Effectieve begeleiding motiveert en ondersteunt de patiënt bij het bereiken van blijvende gedragsverbetering. In deze e-learning leer je als preventieassistent hoe je patiënten hierbij op een doelgerichte manier kunt begeleiden. Je krijgt inzicht in het verband tussen gedrag en mondgezondheid, en in hoe je voorlichting en begeleiding afstemt op de individuele patiënt. Omdat preventie een kerntaak is van jouw rol, ben jij bij uitstek degene om gedragsverandering te initiëren en te ondersteunen.
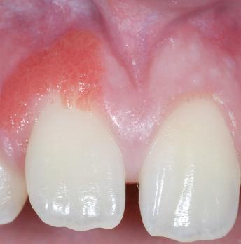
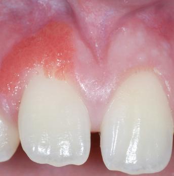
Aandoeningen van mondslijmvlies en tandvlees - deel 2 Lees meer over Aandoeningen van mondslijmvlies en tandvlees - deel 2 Aandoeningen van mondslijmvlies en tandvlees - deel 2
Deze nascholing is bedoeld om preventieassistenten te ondersteunen bij het herkennen van veelvoorkomende afwijkingen van het mondslijmvlies en tandvlees in de dagelijkse praktijk. Van tandheelkundig teamleden wordt niet verwacht dat zij álle afwijkingen uit het hoofd kennen; daarvoor zijn atlassen en leerboeken beschikbaar. Wel is het belangrijk om afwijkingen tijdig te signaleren en zo nodig door te verwijzen. De e-learning is opgebouwd rond herkenbare praktijksituaties. Er wordt aandacht besteed aan ulceraties, gepigmenteerde afwijkingen, witte, wit-rode en rode afwijkingen, zwellingen en tandvleesafwijkingen die niet aan tandplaque gerelateerd zijn. Daarnaast komt de klacht van tong- en mondbranden aan bod. Een goed uitgevoerd mondonderzoek – inclusief inspectie van tong en mondbodem – wordt als basiskennis verondersteld. Deze nascholing helpt je bij het verder ontwikkelen van je observatievermogen en klinisch inzicht.
Aandoeningen van mondslijmvlies en tandvlees - deel 1 Lees meer over Aandoeningen van mondslijmvlies en tandvlees - deel 1 Aandoeningen van mondslijmvlies en tandvlees - deel 1
Deze nascholing is bedoeld om preventieassistenten te ondersteunen bij het herkennen van veelvoorkomende afwijkingen van het mondslijmvlies en tandvlees. In de praktijk is het niet haalbaar om álle mogelijke mondafwijkingen paraat te hebben; daarvoor zijn atlassen en leerboeken beschikbaar. Wel is het belangrijk om afwijkingen tijdig te signaleren. De opbouw van deze e-learning sluit aan bij de dagelijkse praktijk. Er wordt aandacht besteed aan ulceraties, gepigmenteerde afwijkingen, witte, wit-rode en rode laesies, en zwellingen. Daarnaast komt een apart onderdeel aan bod over tandvleesafwijkingen die niet plaque-gerelateerd zijn. Tot slot wordt ingegaan op de klacht van tong- en mondbranden. Een goed uitgevoerd mondonderzoek – inclusief inspectie van tong en mondbodem – wordt als bekend verondersteld. Deze nascholing helpt je jouw observatievermogen te versterken en je rol in vroegsignalering te verdiepen.
Halitose Lees meer over Halitose Halitose
Halitose, ook wel foetor ex ore, vieze mondgeur of stinkende adem genoemd, is een veelvoorkomend probleem dat gepaard gaat met gevoelens van schaamte en onzekerheid. Naar schatting kampt 32% van de (bijna) volwassen bevolking met halitose. In deze nascholing leer je de oorzaken van halitose herkennen, inclusief ochtendhalitose en niet-orale vormen, en krijg je inzicht in de psychosociale impact voor patiënten. De e-learning behandelt tevens diagnostiek, behandelopties en ervaringen met het halitosespreekuur. Hierbij wordt ingezoomd op de rol van de preventieassistent bij signalering, begeleiding en educatie. Je krijgt praktische handvatten om patiënten professioneel te helpen, ondersteund door recente wetenschappelijke inzichten. Deze nascholing biedt een overzichtelijk en toepasbaar kader om bij te dragen aan effectieve zorg en het verbeteren van de kwaliteit van leven van patiënten met halitose. Ter bevordering van de leesbaarheid wordt de vrouwelijke vorm gebruikt; hiermee wordt zowel zij/haar als hij/hem bedoeld.
Effectieve communicatie voor de preventieassistent Lees meer over Effectieve communicatie voor de preventieassistent Effectieve communicatie voor de preventieassistent
Een goede zorgverlener-patiëntrelatie bevordert aantoonbaar de mondgezondheid van patiënten. Professioneel communiceren is hiervoor essentieel, maar zeker niet altijd eenvoudig. Ook kunnen preventieassistenten moeite hebben met lastige gesprekssituaties. Deze e-learning biedt handvatten om professioneel om te gaan met gesprekken die als moeilijk worden ervaren. De nascholing is opgebouwd uit drie blokken. In Blok A staat de rol van verbale en non-verbale communicatie in de behandelrelatie centraal. Blok B biedt praktische tips aan de hand van casuïstiek over gesprekken met patiënten bij wie sprake is van conflicten, agressie, angst, huiselijk geweld, seksuele intimidatie of fouten. In Blok C wordt ingegaan op communicatie met specifieke patiëntengroepen, zoals patiënten met beperkte gezondheidsvaardigheden, een andere culturele achtergrond of kwetsbare ouderen. De e-learning richt zich op zorgverleners die al beschikken over basiskennis van communicatie. De nadruk ligt op herkenbare valkuilen en veelvoorkomende uitdagingen, ondersteund met voorbeelden en casuïstiek. De theoretische basis is afkomstig uit het Handboek communicatie in de mondzorg. Tot slot bevat de nascholing een afsluitende toets, literatuur en een opdracht voor praktijkimplementatie. Ter bevordering van de leesbaarheid wordt de vrouwelijke vorm gebruikt; hiermee wordt zowel zij/haar als hij/hem bedoeld.
Parodontologie voor de preventieassistent Lees meer over Parodontologie voor de preventieassistent Parodontologie voor de preventieassistent
Een gezond gebit en gezond parodontium zijn onlosmakelijk met elkaar verbonden. Daarom is screening van het parodontium een essentieel onderdeel van de periodieke controle. In deze nascholing leer je parodontale aandoeningen herkennen, signaleren en ondersteunen bij de behandeling. De focus ligt op de rol van de preventieassistent en paro-preventieassistent bij de begeleiding van mondverzorging, voorlichting en professionele gebitsreiniging. Blok A behandelt de fysiologie van het parodontium, etiologie van aandoeningen en de anamnese. In Blok B staat het parodontaal onderzoek centraal, gevolgd door het stellen van een diagnose en het opstellen van een behandelplan. Deze opbouw helpt je om een goede basis te vormen en in samenwerking met tandarts of mondhygiënist parodontale zorg te ondersteunen. Parodontitis is wereldwijd een van de meest voorkomende aandoeningen en een belangrijke oorzaak van tandverlies. Vroege signalering is cruciaal, zeker omdat vrijwel niemand langdurig plaquevrij blijft zonder professionele hulp. Met deze nascholing krijg je een actuele en praktische basis om patiënten effectief te begeleiden en complicaties te helpen voorkomen.