Dysplasie en femoroacetabulair impingement van het heupgewricht bij jongvolwassenen: een vertaalslag naar de praktijk (VI)

01 juni 2023 2 punten

Klachten van het heupgewricht komen relatief vaak voor bij (jong)volwassenen. Een groot deel van deze klachten worden veroorzaakt door de anatomie van het heupgewricht, die bepaald wordt door aanleg en deels door omgevingsfactoren. Het tijdig diagnosticeren van belangrijke heuppathologie door medici en paramedici is essentieel voor zowel behandeling als prognose. Voldoende theoretische en praktische kennis is daarom van groot belang. In dit Physios-artikel wordt aandacht besteed aan de heupanatomie, diagnostiek (met o.a. lichamelijk en aanvullend onderzoek), behandeling en prognose van heupdysplasie en het femoroacetabulair impingement (FAI). Ook de laatste wetenschappelijke inzichten in het diagnostisch en therapeutisch traject komen aan de orde. Voor de fysiotherapeut is met name het diagnostische en conservatief-therapeutische deel relevant. Door kennis hiervan kan de fysiotherapeut tijdig heupgerelateerde problematiek herkennen, de juiste conservatieve therapie instellen en zo voor de patiënt het verschil maken.

Leerdoelen

Na het bestuderen van deze collectie:

  • kunt u de symptomen van heupdysplasie herkennen in de praktijk
  • kunt u aanvullend onderzoek bij verdenking op heupdysplasie interpreteren
  • kunt u aandachtspunten in behandelinterventies bij heupdysplasie benoemen
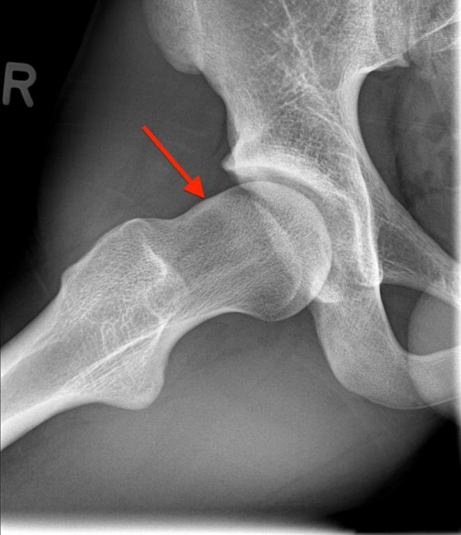
  • kent u de etiologie van femoroacetabulair impingement (FAI)
  • kunt u de klinische relevantie van de aanwezigheid van cammorfologie uitleggen
  • kunt u beredeneren dat bij cammorfologie de behandeling van FAI vrijwel altijd conservatief start

Informatie over deze collectie

Publicatiedatum 01 juni 2023
Duur
1 uur

Accreditatie

Status
Niet gestart
Accreditatie-informatie
Te behalen punten: 2

Aan de slag

Abonneer op Physios

Neem nu een abonnement op Physios om toegang tot deze nascholing te krijgen.

In deze collectie

E-learning met toets

Dysplasie en femoroacetabulair impingement van het heupgewricht bij jongvolwassenen: een vertaalslag naar de praktijk

Auteurs
P. (Pim) van Klij, MD, Phd
M.M.A. (Michiel) van Buuren
N. (Noortje) Riedstra, MD
F. (Fleur) Boel, MSc
J. (Joke) Buitendijk-Harms
R. (Rintje) Agricola, MD, PhD
Niet gestart
1 uur
Artikel

Dysplasie en femoroacetabulair impingement van het heupgewricht bij jongvolwassenen: een vertaalslag naar de praktijk

Auteurs
P. (Pim) van Klij, MD, Phd
M.M.A. (Michiel) van Buuren
N. (Noortje) Riedstra, MD
F. (Fleur) Boel, MSc
J. (Joke) Buitendijk-Harms
R. (Rintje) Agricola, MD, PhD
Niet gestart
Bijlage

Literatuurlijst

Niet gestart