CRP en BSE

01 maart 2012

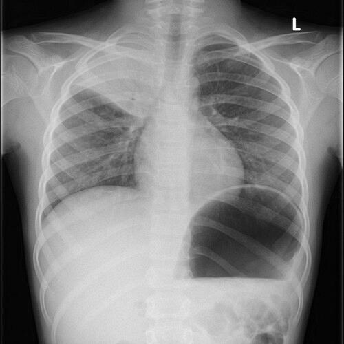
De laboratoriumbepalingen bezinking (bezinkingssnelheid erytrocyten, BSE), het C-reactieve proteïne (CRP) en de leukocyten worden in de kliniek veelvuldig aangevraagd ter analyse van een onderliggende ziekte of worden serieel gemeten bij het vervolgen van een ziekte. Hoe deze bepalingen geïnterpreteerd dienen te worden, wordt geïllustreerd aan de hand van een casus.

Leerdoelen

Na het bestuderen van deze collectie:

  • kent u de differentiaal diagnose hoesten
  • kent u de fysiologie, pathofysiologie en dynamiek van de laboratoriumbepalingen van CRP en BSE
  • weet u wat een leukocytose, leukopenie en een linksverschuiving is

Informatie over deze collectie

Publicatiedatum 01 maart 2012
Duur
1 uur

Accreditatie

Status
Niet gestart

Aan de slag

Abonneer op Nurse Academy

Neem nu een abonnement op Nurse Academy om deze inhoud te lezen.

In deze collectie

Artikel

CRP en BSE

Auteurs
drs. L. (Linda) Becude
Ir. H. (Hans) Ablij
Niet gestart
1 uur