Ziekte van von Hippel-Lindau

01 oktober 2025

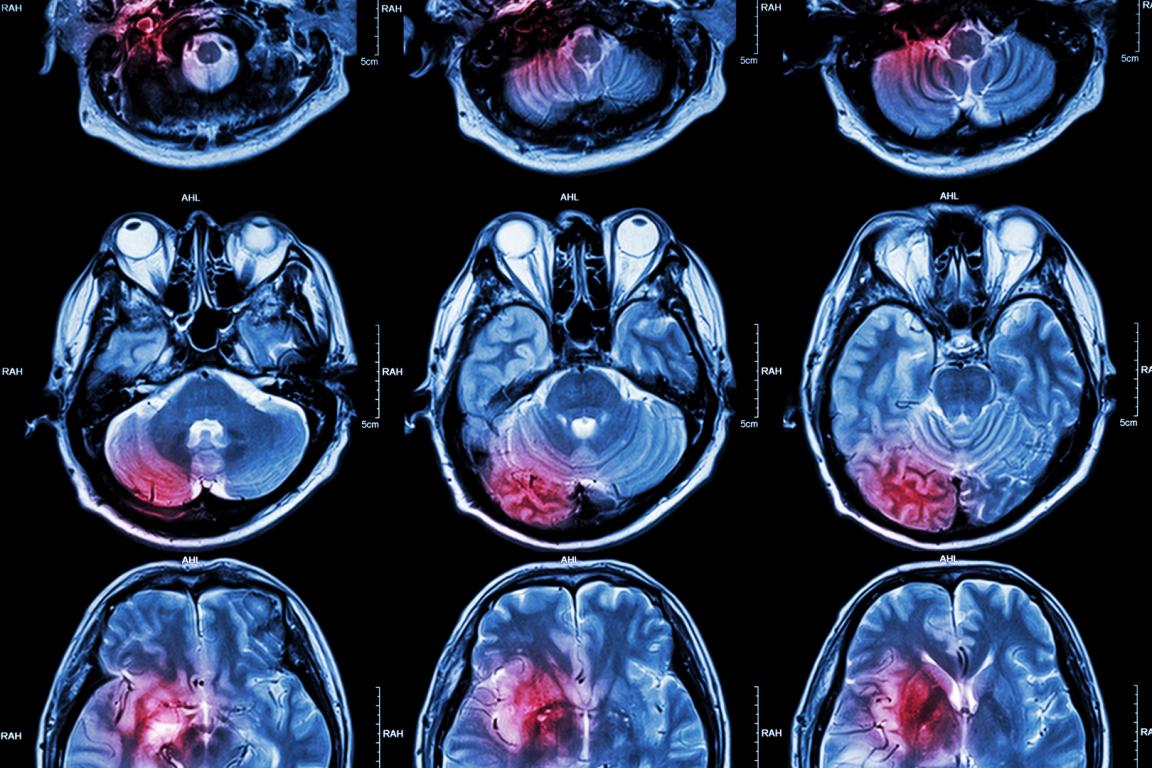
Hemangioblastomen zijn het prototype tumoren bij patiënten met de ziekte van Von Hippel-Lindau (VHL). Deze ziekte kent echter meer manifestaties met een maligne potentie. VHL kent een hoge morbiditeit, vooral als de symptomen van de tumoren laat onderkend worden. In het bijzonder dragen de hemangioblastomen bij aan een hoge ziektelast en slechte prognose. Een multidisciplinaire benadering met gerichte expertise zijn een voorwaarde voor goede zorg. Hierin zijn de neuroloog en neurochirurg erg belangrijk. De laatste jaren zijn er baanbrekende ontwikkelingen geweest zoals de kennis over het HIF (hypoxia induced factor)-eiwit en het eerste geneesmiddel dat hier direct op aangrijpt. Dit geeft hoop op betere overleving en minder ziektelast. Dit artikel gaat in op de moleculaire achtergrond, de klinische symptomen en nieuwe perspectieven voor patiënten met VHL.

Informatie over deze collectie

Publicatiedatum 01 oktober 2025
Duur
30 min

Accreditatie

Status
Niet gestart

Aan de slag

Wil jij ook nascholen met Nervus?

In deze collectie

Artikel

Ziekte van von Hippel-Lindau

Auteurs
dr. R.S. (Rachel) van Leeuwaarde
dr. W.T. (Wouter) Zandee
Niet gestart
30 min
Je hebt geen abonnement op Nervus.
Bijlage

Literatuurlijst

Niet gestart
Je hebt geen abonnement op Nervus.