Update genetische ataxieën

01 maart 2026 1 punt

Binnen het onderzoeksveld naar genetische vormen van cerebellaire ataxieën hebben de afgelopen jaren belangrijke ontwikkelingen plaatsgevonden. Nieuwe DNA-analysetechnieken hebben geleid tot de ontdekking van nieuwe en relatief frequent voorkomende vormen van genetische ataxie: spinocerebellaire ataxie type 27b (SCA27b) en replication factor C subunit 1 (RFC1)-gerelateerde ataxie. Ook op het gebied van medicamenteuze therapie zijn er nieuwe ontwikkelingen gaande. Zo is omaveloxolone het eerste door de FDA en het EMA goedgekeurde ziektemodificerende medicijn voor de ataxie van Friedreich en loopt er een studie naar een genetische interventie voor SCA1 en SCA3.

Leerdoelen

Na het bestuderen van deze collectie:

  • bent u op de hoogte van een tweetal nieuwere en relatief frequent voorkomende vormen van genetische ataxie (SCA27b en RFC1-gerelateerde ataxie)
  • kent u de verschillende genetische diagnostische tests voor repeat-expansies en de ‘long-read DNA-sequencing’-methoden voor het diagnosticeren van genetische aandoeningen
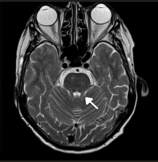
  • kent u de specifieke klinische en radiologische kenmerken die op SCA27b en RFC1 kunnen wijzen
  • kent u de stand van zaken rondom het geneesmiddel omaveloxolone voor de ataxie van Friedreich

Informatie over deze collectie

Publicatiedatum 01 maart 2026
Duur
1 uur

Accreditatie

Status
Niet gestart
Accreditatie-informatie
Te behalen punten: 1

Aan de slag

Abonneer op Nervus

Neem nu een abonnement op Nervus om toegang tot deze nascholing te krijgen.

In deze collectie

E-learning

Update genetische ataxieën

Auteurs
T. (Teije) van Prooije, MSc
dr. E.J. (Erik-Jan) Kamsteeg
prof. dr. B.P.C. (Bart) van de Warrenburg
Niet gestart
45 min
Toets

Update genetische ataxieën

Niet gestart
15 min
Accreditatie voor VSR, NVN en NVVN worden verwacht.
Artikel

Update genetische ataxieën

Auteurs
T. (Teije) van Prooije, MSc
dr. E.J. (Erik-Jan) Kamsteeg
prof. dr. B.P.C. (Bart) van de Warrenburg
Niet gestart
Bijlage

Literatuurlijst

Niet gestart