Auto-immuunhepatitis

01 september 2015

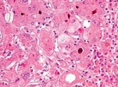
Auto-immuunhepatitis (AIH) is een chronische ontstekingsziekte van de lever, die vaker bij vrouwen voorkomt dan bij mannen. Patiënten met deze ziekte presenteren zich met klachten als vermoeidheid, verminderde eetlust en pijn in de bovenbuik. Het is op dit moment (nog) onbekend hoe AIH ontstaat. De incidentie van AIH is 1,9 per 100.000 en de prevalentie is 16,9 per 100.000. In 80% van de gevallen gaat het om patiënten van het vrouwelijk geslacht, bij wie AIH vaak optreedt rond het begin van de menstruatie of rond de overgang. De behandeling is multidisciplinair en vindt voornamelijk in de tweede lijn plaats.

Leerdoelen

Na het bestuderen van deze collectie:

  • de belangrijkste symptomen benoemen van auto-immuunhepatitis, de behandeling en bijwerkingen van medicatie
  • hoe belangrijk therapietrouw is bij chronisch gebruik van medicatie
  • de toegevoegde waarde omschrijven van de verpleegkundig specialist in de zorg voor patiënten met auto-immuunhepatitis

Informatie over deze collectie

Publicatiedatum 01 september 2015
Duur
1 uur

Accreditatie

Status
Niet gestart

Aan de slag

Wil jij ook nascholen met Nurse Academy?

In deze collectie

Artikel

Auto-immuunhepatitis

Auteur
A. (Anja) Hulsegge
Niet gestart
1 uur
Je hebt geen abonnement op Nurse Academy.