Medicatie-geïnduceerde longziekten

01 november 2025 1 punt

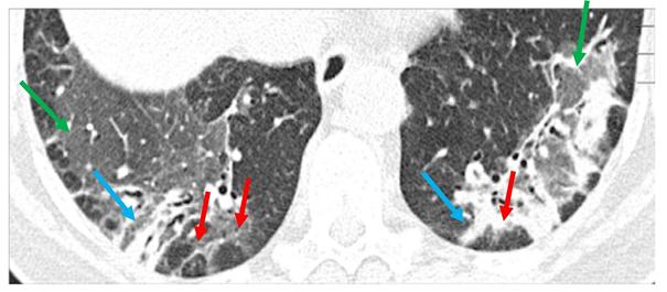
Medicatie-geïnduceerde longziekten zijn een steeds vaker voorkomende bijwerking van diverse geneesmiddelen. Ze worden vooral gezien bij gebruik van (nieuwere) oncologische middelen zoals immuuntherapie, maar ook van bijvoorbeeld klassieke chemotherapeutica, immunosuppressiva bij auto-immuunziekten, amiodaron bij hartritmestoornissen of nitrofurantoïne bij urineweginfecties. De radiologische presentatie varieert van diffuus matglas (niet-specifieke interstitiële pneumonie), consolidaties (organiserende pneumonie) tot fibrose of zeldzamere patronen zoals hypersensitiviteitspneumonitis. Het stellen van de klinische diagnose is uitdagend door aspecifieke symptomen en vereist uitsluiting van infectie, hartfalen en andere oorzaken. Beeldvorming is hierbij een essentieel instrument. De behandeling bestaat uit het (meestal tijdelijk) staken van de verdachte medicatie en eventueel corticosteroïden, te bepalen in multidisciplinaire besluitvorming. De ernst van het longbeeld bepaalt de prognose, die varieert van volledig herstel tot een hoge mortaliteit bij diffuse alveolaire schade. Alertheid bij nieuwe longafwijkingen is cruciaal, waarbij de radioloog een belangrijke signalerende rol heeft.

Leerdoelen

Na het bestuderen van deze collectie:

  • weet u hoe medicatie-geïnduceerde longziekten zich kunnen presenteren op beeldvorming
  • kunt u specifieke longpatronen op CT-opnamen onderscheiden en hiermee richting geven aan het eventueel veroorzakende medicijn
  • weet u op welke manier u dit in het radiologieverslag moet documenteren
  • ziet u in dat het tijdig herkennen van medicatie-geïnduceerde longafwijkingen klinisch relevant is

Informatie over deze collectie

Publicatiedatum 01 november 2025
Duur
1 uur

Accreditatie

Status
Niet gestart
Accreditatie-informatie
Te behalen punten: 1

Aan de slag

Wil jij ook nascholen met Imago?

In deze collectie

E-learning

Medicatie-geïnduceerde longziekten

Auteurs
dr. S.O. (Selma) Algra
prof. dr. C.M. (Cornelia) Schaefer-Prokop
Niet gestart
45 min
Je hebt geen abonnement op Imago.
Toets

Medicatie-geïnduceerde longziekten

Niet gestart
15 min
Je hebt geen abonnement op Imago.
Artikel

Medicatie-geïnduceerde longziekten

Auteurs
dr. S.O. (Selma) Algra
prof. dr. C.M. (Cornelia) Schaefer-Prokop
Niet gestart
Je hebt geen abonnement op Imago.
Bijlage

Literatuurlijst

Niet gestart
Je hebt geen abonnement op Imago.