AccreDidact Doktersassistent
Praktijkgerichte nascholing voor de doktersassistent
Wil je toegang tot alle artikelen, video's en nascholing van AccreDidact Doktersassistent?
Abonneer nu! Meer informatie
Alle collecties van AccreDidact Doktersassistent
Gesorteerd op nieuw - oud
Vragen over beten en steken door teken, insecten en andere dieren komen regelmatig voor in de huisartsenpraktijk. Jaarlijks worden naar schatting één miljoen Nederlanders gebeten door een teek, waarvan ongeveer 25.000 mensen de ziekte van Lyme ontwikkelen. In sommige regio’s is tot de helft van de teken besmet met de Borrelia-bacterie. Geen wonder dat tekenbeten tot veel ongerustheid leiden. Ook andere spinachtigen en insecten kunnen klachten veroorzaken, variërend van jeuk tot ernstige allergische reacties.
In deze nascholing leert u het onderscheid maken tussen beten en steken met en zonder risico op infectie of allergie. De nadruk ligt op situaties waarin het geven van goede adviezen volstaat, én op momenten waarop alertheid nodig is, bijvoorbeeld bij beten van teken, honden, katten of mensen. Hierbij is aandacht voor risico’s op infectieziekten en wondinfecties.
De e-learning biedt u praktische kennis om adequaat te reageren op vragen over beten en steken, en om passende voorlichting te geven. Zo bent u als doktersassistent goed voorbereid op deze veelvoorkomende hulpvragen in de praktijk.

Wondbehandeling is een terugkerende taak in de huisartsenpraktijk, maar de aanpak verschilt per type wond. Wat is de juiste reiniging of desinfectie? Wanneer hechten, en hoelang blijven hechtingen zitten? En hoe varieert dit per locatie op het lichaam? Deze vragen spelen bij acute wonden, maar nog meer bij de complexere behandeling van chronische wonden.
In deze nascholing komen al deze aspecten uitgebreid aan bod. U leert over de actuele inzichten rondom wondreiniging, desinfectie, wondbedekking en het wisselen van verband. De verzorging van chronische wonden wordt toegelicht aan de hand van het WCS-classificatiemodel. Hoewel de huisarts verantwoordelijk is voor de classificatie en behandeling, is het waardevol dat u als doktersassistent hierin inzicht heeft.
Ook wordt stilgestaan bij het gebruik van het ZN-formulier van Zorgverzekeraars Nederland, dat vereist is bij de aanvraag van verbandmiddelen voor serieuze wonden. Het programma sluit af met een overzicht van bijzondere wonden, zoals brand- en beetwonden. Zo bent u goed voorbereid om te ondersteunen en waar nodig te adviseren, ook wanneer de huisarts afwezig is.

Lage rugklachten zijn een van de meest voorkomende klachten in de huisartsenpraktijk. Tussen de 60 en 90 procent van de westerse bevolking krijgt er ooit mee te maken. Als doktersassistent zult u deze hulpvraag vrijwel dagelijks tegenkomen.
In deze nascholing leert u het onderscheid maken tussen aspecifieke en specifieke lage rugklachten. In 90 tot 95 procent van de gevallen is er geen specifieke lichamelijke oorzaak aanwijsbaar. Toch is het cruciaal dat u tijdens de triage snel en zorgvuldig kunt inschatten of er sprake is van een ernstigere onderliggende aandoening.
De e-learning richt zich daarom uitgebreid op triage: welke vragen stelt u en waarom? Daarnaast krijgt u handvatten voor het geven van adviezen en voorlichting, en wordt de behandeling van lage rugklachten besproken. Zo bent u beter toegerust om patiënten met rugklachten op een deskundige en veilige manier verder te helpen.

Slaapklachten zijn veelvoorkomend in de huisartsenpraktijk. Vaak worden ze terloops genoemd, pas nadat andere klachten besproken zijn. Toch is het belangrijk om bij slaapproblemen goed door te vragen. Regelmatig blijkt dat mensen subjectief slecht slapen, terwijl er objectief geen sprake is van een slaaptekort. Vooral bij ouderen is het normaal om vaker wakker te worden tijdens de nacht.
In deze nascholing leert u wat de definitie van een slaapstoornis is en hoe slaappatronen variëren per leeftijdsgroep. Er wordt aandacht besteed aan de normale veranderingen van slaap bij het ouder worden en aan het afwijkende slaappatroon bij kinderen ten opzichte van volwassenen.
De e-learning benadrukt het belang van goede voorlichting en het geven van adviezen over slaaphygiëne. Slaapmiddelen worden in de praktijk nog te vaak en te snel voorgeschreven, terwijl eenvoudige maatregelen vaak voldoende kunnen zijn. Pas wanneer voorlichting en leefstijladviezen onvoldoende effect hebben, is het overwegen van medicatie aan de orde. U krijgt in deze nascholing praktische handvatten om patiënten met slaapklachten goed te begeleiden.

De zorg voor kwetsbare ouderen verandert ingrijpend door drie ontwikkelingen: vergrijzing, bezuinigingen en veranderende kenmerken van de oudere zelf. Deze verschuivingen hebben grote gevolgen voor de huisartsenpraktijk. Ouderen stellen andere eisen aan hun zorg, en hun zorgvragen worden complexer. Dit vraagt om een aangepaste benadering.
In deze nascholing leert u hoe u als doktersassistent een centrale rol speelt in de zorg voor kwetsbare ouderen. U bent vaak het eerste aanspreekpunt en daarmee een onmisbare schakel in de overgang naar proactieve, persoonsgerichte ouderenzorg. De e-learning gaat in op het tijdig signaleren van zorgbehoeften, het inventariseren van wensen en verwachtingen, en het belang van zicht op de draagkracht van de patiënt en diens netwerk.
Ook wordt het belang van multidisciplinaire samenwerking, goede verslaglegging en efficiënte informatie-uitwisseling besproken. Deze nascholing helpt u om beter voorbereid te zijn op de toenemende complexiteit in de ouderenzorg en om passende ondersteuning te bieden binnen uw rol in de praktijk.

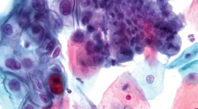
Het bevolkingsonderzoek baarmoederhalskanker richt zich op vrouwen van 30 tot 60 jaar en heeft als doel het vroegtijdig opsporen van voorstadia van baarmoederhalskanker. Dit gebeurt via het uitstrijkje, een onderzoek waarbij de doktersassistent een centrale rol speelt. Vrijwel elke huisartsenpraktijk is betrokken bij dit bevolkingsonderzoek, waarbij sommige praktijken zelf vrouwen uitnodigen en andere dit overlaten aan de regionale screeningsorganisatie.
In deze nascholing krijgt u inzicht in de achtergrond van het bevolkingsonderzoek en de rol van het humaan papillomavirus (HPV) hierin. U leert waarop gelet moet worden bij het afnemen van een uitstrijkje en welke veranderingen er zijn opgetreden sinds de invoering van het vernieuwde screeningsprogramma in 2016.
Ook wordt besproken in hoeverre het ‘uitstrijkje’ nog een traditionele uitstrijk betreft. Deze e-learning biedt u praktische handvatten om uw rol in het bevolkingsonderzoek professioneel en zorgvuldig te vervullen.