AccreDidact Apotheker
Praktijkgerichte nascholing voor de apotheker
Wil je toegang tot alle artikelen, video's en nascholing van AccreDidact Apotheker?
Abonneer nu! Meer informatie
Alle collecties van AccreDidact Apotheker
Gesorteerd op nieuw - oud
De prevalentie van overgewicht en obesitas neemt toe, zowel in Nederland als in de rest van de Europese Unie. In 2040 zal naar verwachting 62% van de Nederlanders overgewicht hebben. Deze toename leidt tot een groeiende groep patiënten met aandoeningen zoals diabetes type 2, hypertensie, gewrichtsklachten en depressies. Veel van deze patiënten gebruiken meer dan gemiddeld medicatie en vormen daarmee een belangrijke patiëntengroep binnen de apotheek.
Daarnaast ondergaan jaarlijks ongeveer 12.000 mensen in Nederland een bariatrische ingreep, zoals de ‘roux-en-Y gastric bypass’ of de ‘gastric sleeve’-resectie. Bij deze patiënten kunnen fysiologische veranderingen, zoals een andere absorptie of maaglediging, invloed hebben op de farmacokinetiek van geneesmiddelen.
In deze nascholing krijgt u kennis aangereikt over medicatiegebruik bij patiënten met overgewicht of na bariatrische chirurgie. Er is aandacht voor gewijzigde farmacokinetiek, lopend onderzoek en het KNMP-project voor medicatiebewakingsadviezen. Tot slot wordt stilgestaan bij praktische uitdagingen én mogelijkheden voor apothekers om passende zorg te bieden aan deze specifieke doelgroep.

Hart- en vaatziekten vormen een belangrijke oorzaak van ziektelast in Nederland. In 2017 hadden naar schatting 1,7 miljoen Nederlanders een hart- en/of vaatziekte. Dankzij voortschrijdend inzicht is het tegenwoordig mogelijk het individuele risico op hart- en vaatziekten steeds beter in te schatten, wat de weg opent naar effectieve preventie en behandeling.
Deze nascholing is gebaseerd op de herziene NHG-Standaard Cardiovasculair risicomanagement (CVRM), die in mei 2019 is verschenen. De e-learning geeft een overzicht van de epidemiologie en diagnostiek van hart- en vaatziekten, en gaat uitgebreid in op het CVRM-beleid in de eerste en tweede lijn. De opbouw van de e-learning volgt een logische structuur: in onderdeel A1 wordt de epidemiologie besproken, in A2 de diagnostiek en oorzaken. In blok B staat het CVRM centraal, met veel aandacht voor de recente richtlijnwijzigingen, farmacotherapeutisch beleid en het belang van een multidisciplinaire aanpak.
Er is aandacht voor risicocategorieën, aangepaste streefwaarden voor ldl-cholesterol, en de rol van leefstijlverandering. Ook wordt besproken hoe medicatiekeuze en behandelcriteria zijn veranderd. Deze nascholing ondersteunt u bij het leveren van persoonsgerichte zorg aan patiënten met (risico op) hart- en vaatziekten.

Acne vulgaris is een veelvoorkomende huidaandoening bij adolescenten, die vaak leidt tot schaamte, terugtrekking en verminderde levenskwaliteit. Ondanks vooruitgang in de medische wetenschap zijn de behandelmogelijkheden beperkt en is genezing zelden mogelijk. Jongeren proberen vaak zonder succes allerlei OTC-producten en dieetmaatregelen. Dit leidt tot teleurstelling en uitstel van effectieve behandeling.
In deze nascholing staat de rol van huisarts en apotheker centraal: hoe herkent u acne, hoe biedt u passende begeleiding en wat kunt u realistisch verwachten van de behandeling? Er is aandacht voor het geven van goede voorlichting, het bespreken van de prognose en het voorkomen van onnodige teleurstelling.
De e-learning is gebaseerd op de derde herziening van de NHG-Standaard Acne (2017). U leert onder meer over gewijzigde inzichten in antibioticagebruik, het vervallen van minocycline, en het veranderde advies rond hormonale anticonceptie, met name het gebruik van cyproteronacetaat. Zo biedt deze nascholing u handvatten om jongeren met acne effectief en empathisch te begeleiden.

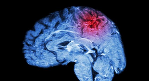
De behandeling van een herseninfarct is de afgelopen jaren ingrijpend veranderd. Dankzij intraveneuze trombolyse is de overleving sterk verbeterd, al blijft het herseninfarct in de top drie van doodsoorzaken. In deze nascholing staat de actuele stand van zaken rondom de behandeling en secundaire preventie van een TIA of herseninfarct centraal.
U krijgt inzicht in recente ontwikkelingen, zoals het gebruik van clopidogrel als alternatief voor acetylsalicylzuur met dipyridamol, en van DOAC’s bij atriumfibrilleren. Ook wordt stilgestaan bij het verschuivende begrip TIA en waarom de termen ‘beroerte’ en ‘CVA’ niet langer volstaan.
Naast de acute fase, komt in deze nascholing ook de cruciale rol van de apotheker aan bod in de secundaire preventie: het bewaken van contra-indicaties en interacties, het bevorderen van therapietrouw, en begeleiding bij het gebruik van DOAC’s binnen de Keten Antistolling. Verder is er aandacht voor ondersteuning bij slikproblemen, cognitieve stoornissen en valrisico’s.
Tot slot bespreekt de nascholing ook de epidemiologie, symptomen en snelle herkenning van een TIA of herseninfarct – essentieel, want time is brain.

Urticaria en constitutioneel eczeem zijn veelvoorkomende huidaandoeningen die een grote impact kunnen hebben op het dagelijks functioneren van patiënten. Urticaria presenteert zich acuut, met hevige jeuk en plotselinge huidafwijkingen, wat vaak leidt tot bezorgdheid en de wens tot uitgebreid allergologisch onderzoek. In deze nascholing wordt ingegaan op de rol van allergie bij urticaria, de diagnostische mogelijkheden, wanneer verwijzing zinvol is, en welke behandeling effectief verlichting biedt.
Constitutioneel eczeem is een chronisch recidiverende aandoening, die vooral jonge kinderen treft en hun omgeving onzeker maakt door de hoeveelheid (soms tegenstrijdige) adviezen. Goede voorlichting en consistente communicatie vanuit huisarts en apotheek zijn essentieel om verwarring te voorkomen en therapietrouw te bevorderen.
Deze e-learning geeft u inzicht in de pathofysiologie, diagnostiek en behandeling van beide aandoeningen, met aandacht voor praktische adviezen aan patiënten. Door eenduidige begeleiding kunnen huisarts en apotheker samen bijdragen aan een betere kwaliteit van leven voor patiënten met urticaria of eczeem.

Diabetes mellitus is een chronische aandoening die steeds vaker voorkomt en inmiddels bijna 1 miljoen Nederlanders treft. De ziekte leidt niet alleen tot een verhoogde bloedglucosewaarde, maar veroorzaakt ook schade aan het hart, de bloedvaten, de nieren, het zenuwstelsel en de ogen. Het risico op cardiovasculaire complicaties is aanzienlijk verhoogd, wat diabetes tot een ernstige en ingrijpende aandoening maakt.
In deze nascholing wordt ingegaan op de actuele inzichten in de behandeling van diabetes mellitus type 1 en type 2. Daarbij wordt de nadruk gelegd op het belang van een integrale aanpak: naast een goede glucoseregulatie zijn ook bloeddruk- en lipidenverlaging essentieel om complicaties te voorkomen. De nascholing is gebaseerd op recente studies, waaronder de UKPDS-studie, en sluit aan bij de partieel vernieuwde NHG-Standaard Diabetes mellitus type 2 (2018).
De e-learning bespreekt de pathofysiologie, diagnostiek, farmacotherapie en het stappenplan voor behandeling, met aandacht voor het grote aantal geneesmiddelen dat vaak noodzakelijk is. Hiermee wordt u als huisarts toegerust om patiënten met diabetes volgens de laatste richtlijnen te begeleiden en complicaties waar mogelijk te beperken.